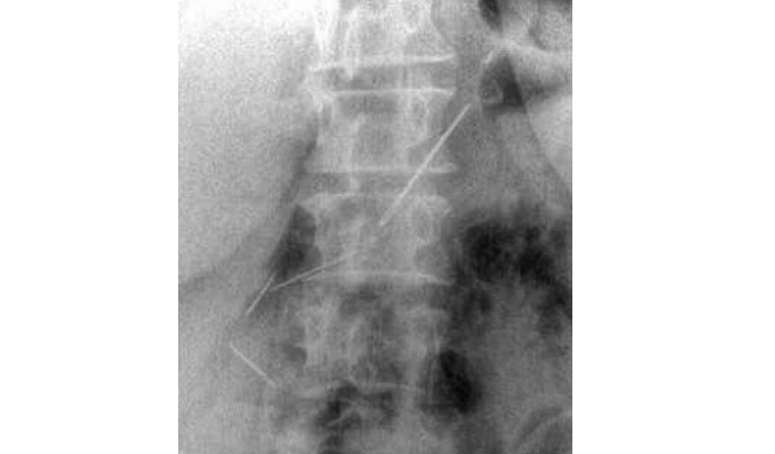
В Подмосковье врачи извлекли четыре швейные иглы из живота пенсионерки

59-летняя жительница Подмосковья обратилась в больницу с болями в животе и месяц не подозревала, что проглотила несколько игл.

В Подмосковье врачи извлекли четыре швейные иглы из живота пенсионерки
Фото: Telegram-канал «Осторожно, Москва»

В Красногорскую больницу поступила 59-летняя женщина с жалобами на боли в животе. В ходе обследования врачи обнаружили у неё в брюшной полости и передней брюшной стенке четыре инородных предмета — ими оказались швейные иглы.

Как выяснилось, пациентка проглотила их около месяца назад. Обстоятельства, при которых это произошло, не уточняются. За время нахождения в организме иглы успели частично обрасти тканями, а одна из них проникла в поджелудочную железу.

Медики провели лапаротомию и успешно удалили все иглы. Несмотря на повреждение, поджелудочную железу удалось сохранить. Операция завершилась благополучно, сейчас пациентка находится под наблюдением врачей.

Виаком

Комментарии

Для того чтобы оставить комментарий, вам необходимо войти на сайт